L’Endodonzia è la scienza medica, nell’ambito dell’Odontoiatria, che ha per oggetto i tessuti interni del dente, le patologie e i trattamenti correlati. Quando questi tessuti o i tessuti che circondano la radice dentale si ammalano o danneggiano a causa di carie o traumi, il trattamento endodontico permette di salvare il dente.
Il trattamento endodontico o devitalizzazione è un intervento odontoiatrico ambulatoriale che si rende necessario quando la polpa (il tessuto molle interno al dente) è infiammata o infetta per un danno provocato da una carie profonda, dall’esito di interventi sul dente, o da un trauma (grave e improvviso o più leggero ma ripetuto) che ha provocato frattura o scheggiatura o incrinatura profonda.

I segni di un dente, la cui polpa è infiammata, sono dolore, aumentata sensibilità al caldo e al freddo, dolore alla masticazione, gonfiore, dolore ai linfonodi, dolore alla palpazione delle gengiva vicino al dente. Qualche volta possono non esserci sintomi.
Il trattamento endodontico (o cura canalare anche detto devitalizzazione o canalizzazione) consiste nella rimozione della polpa (nervo dentale e fascio arterio venoso) infiammata e infetta, presente all’interno del dente e per tutta la lunghezza delle radici, e nella sua sostituzione con un’otturazione permanente in guttaperca (materiale gommoso) e cemento canalare, previa adeguata detersione e sagomatura dei canali radicolari.


Grazie alle moderne tecniche di anestesia locale e di alesatura canalare con strumenti rotanti in nichel-titanio la procedura è rapida e completamente indolore.
Per quanto riguarda i giorni successivi al trattamento, il dente potrebbe essere più sensibile alla masticazione.
La terapia endodontica, grazie all’utilizzo di dispositivi di ingrandimento di strumenti rotanti e di isolamento del dente con diga, ha una probabilità di successo maggiore del 90%. In alcuni casi può accadere che il dente continui a fare male (anatomia anomala delle radici, fratture radicolari, crack dentinali, ecc.). Allora è necessario ricorrere alla chirurgia endodontica o all'estrazione dell'elemento dentario.
Talvolta un dente devitalizzato può dare origine ad un processo infiammatorio cronico, di origine infettiva, in corrispondenza dell’apice della radice, conosciuto comunemente con il nome di granuloma.
Questa situazione può essere del tutto silente, cioè non dare alcun segno o sintomo, ed essere individuata durante esami radiografici di routine; in altri casi può dare una sintomatologia acuta che va dalla lieve dolenzia del dente interessato (parodontite periapicale cronica), fino al dolore intenso, che non risponde ai farmaci analgesici, che nelle manifestazioni più complete viene accompagnato da gonfiore della guancia (parodontite periapicale acuta o ascesso periapicale).
Si tratta di un evento algico particolarmente intenso che richiede una immediata terapia medica.
Queste infezioni croniche colpiscono denti già devitalizzati nei quali, all’interno delle radici, residua materiale infetto (residui necrotici di polpa dentaria, batteri, tossine batteriche); nonostante in alcuni casi si sviluppino granulomi su denti apparentemente ben trattati e curati.
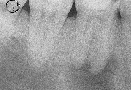
I batteri all’interno dei canali proliferandosi, possono dunque dar luogo ad un processo infiammatorio all’apice della radice che si può manifestare nei quadri clinici enunciati e apparire radiograficamente come una zona di radiotrasperenza dell’osso periapicale.
Dopo aver risolto l’evento infiammatorio acuto, nella maggior parte dei casi per mezzo di una terapia antibiotica sistemica, questi denti devono essere curati al fine di rimuovere le cause che sostengono l’infezione cronica. La terapia prevede un ritrattamento endodontico, ovvero un completo rifacimento della devitalizzazione, con l’obiettivo di eliminare la carica batterica presente nei canali radicolari.

La prima fase della terapia è la corretta esecuzione di una radiografia diagnostica/preoperatoria al fine di ottenere tutte le informazioni sull’anatomia del dente in esame, successivamente si deve isolare il dente con la diga di gomma; è questo un presidio indispensabile per l’esecuzione di una corretta terapia il cui obiettivo è quello di disinfettare e detergere un sistema canalare (endodonto), e dunque il primo passo da fare è quello di evitare di contaminarlo ulteriormente con i batteri di cui la saliva è ricca. Il dente isolato con la diga di gomma è infatti completamente separato dal resto della bocca, garantendo un’ottimale detersione chimica da un lato e preservando il paziente dalla involontaria ingestione di disinfettanti o strumentario.
Dopo aver isolato il dente si inizia a rimuovere l’otturazione o la corona del dente da trattare e si esegue una corretta apertura della camera pulpare, al fine di ottenere un accesso diretto al sistema dei canali radicolari.

Si rimuove tutto il materiale presente all’interno dei canali; la rimozione di questo materiale si ottiene con dei solventi appositi coadiuvato dall’utilizzo di lime manuali o montati su manipoli ad ultrasuoni, successivamente si esegue una detersione e sagomatura dei canali radicolari per mezzo di irriganti disinfettanti quali l’ipoclorito di sodio (un potente battericida) spesso riscaldato per aumentarne la capacità antibatterica, con strumenti rotanti in nichel titanio azionati da appositi manipoli elettrici.
Purtroppo non sempre è possibile raggiungere l’apice della radice da detergere ma, fortunatamente, è spesso sufficiente un’accurata detersione e disinfezione dei canali radicolari a far regredire la patologia.
Dopo avere deterso e sagomato i canali radicolari si passa all’otturazione degli stessi con guttaperca calda e quindi al sigillo coronale (nuova otturazione o corona), fase finale che impedisce la re-infezione batterica dei canali stessi.

E’ molto importante monitorare nel tempo il ritrattamento, eseguendo radiografie di controllo a distanza che documenteranno le modificazioni morfologiche della lesione periapicale e consentiranno al clinico di pronunciarsi in merito alla guarigione e alla prognosi del singolo caso.
Il ritrattamento di un dente devitalizzato rappresenta sempre una terapia di grande difficoltà per l’operatore; numerose variabili rendono questa terapia estremamente indaginosa e presentano rischi di complicanze intraoperatorie (perforazioni, stripping, ecc) e/o successive al ritrattamento stesso.


DR. CANTAMESSE-DR. GHEZZI · VIALE BETELLI, 78/A · 24044 - DALMINE (BG)
Tel: 035 561055 · P.IVA 02862380165
Privacy Policy - Cookie Policy