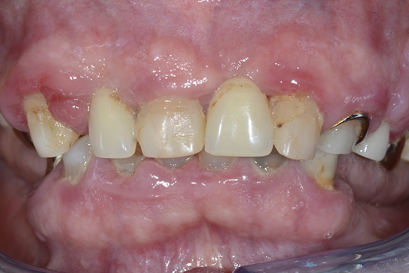
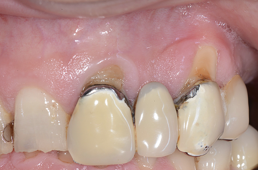
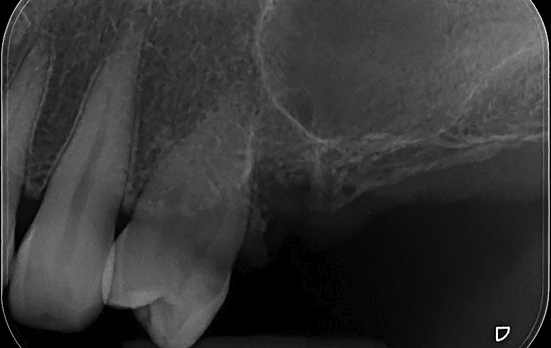
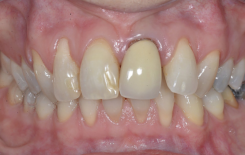
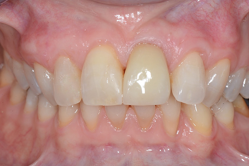
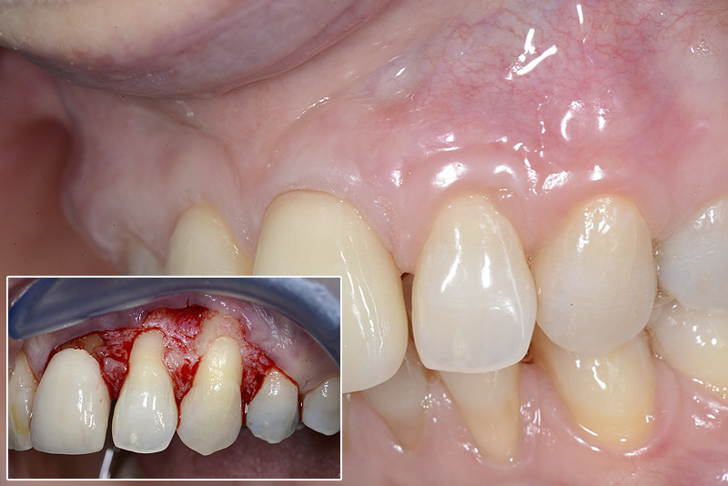
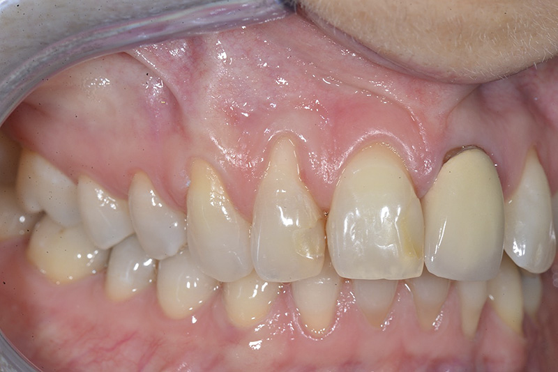
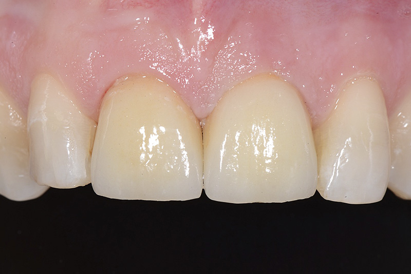
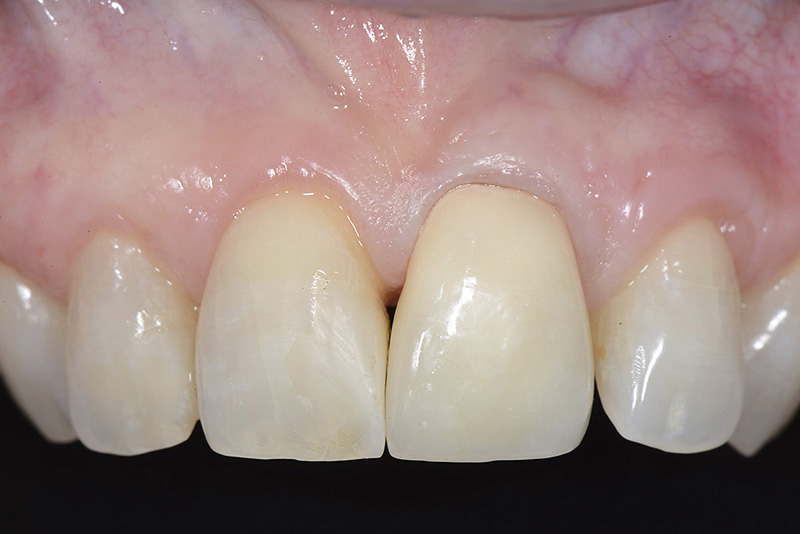
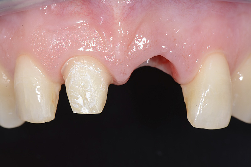
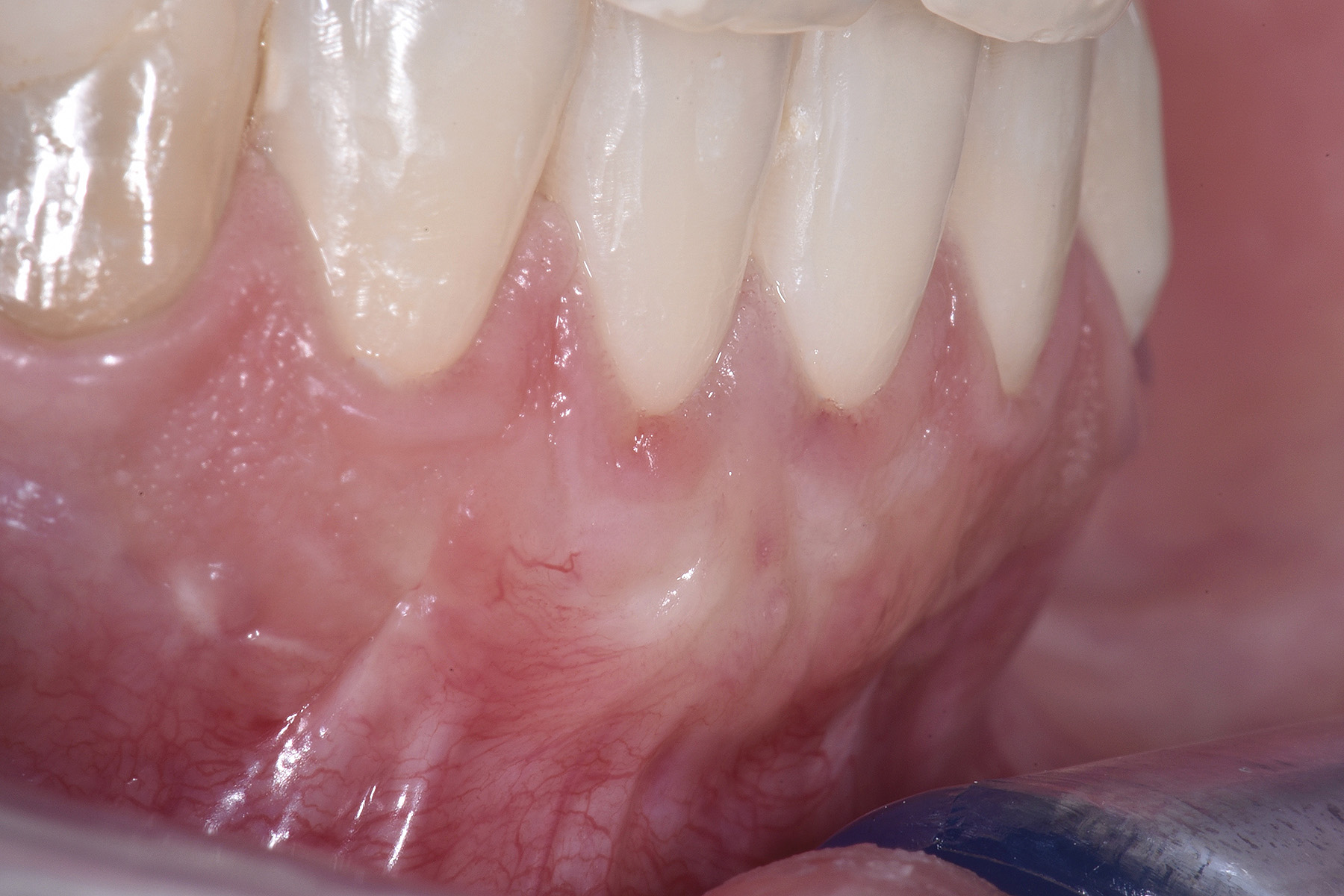
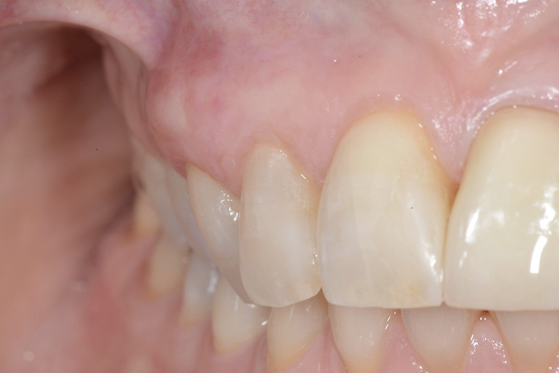
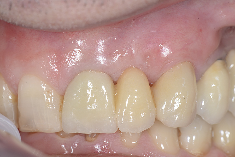
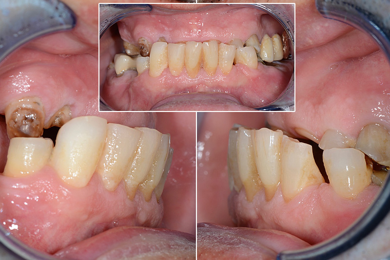
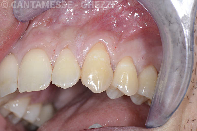
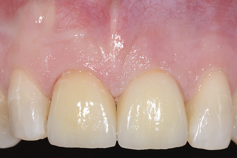
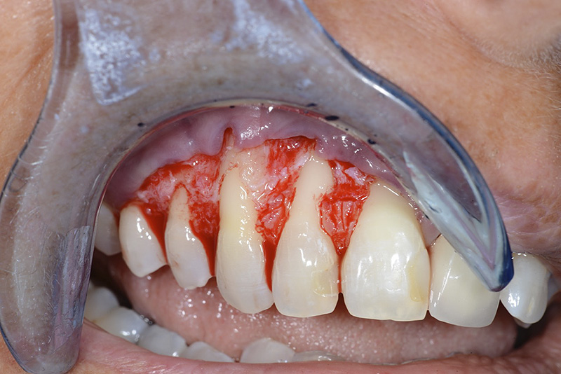
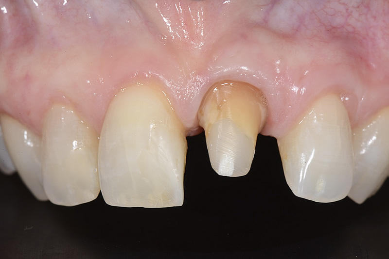
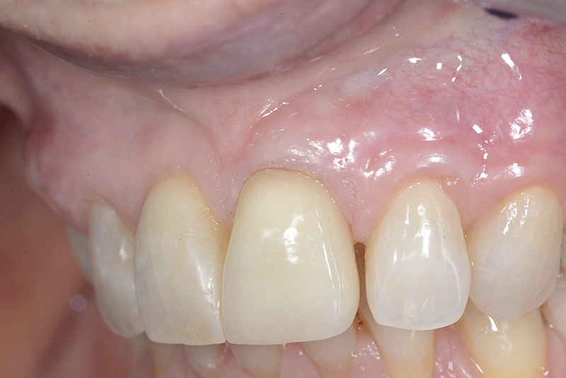
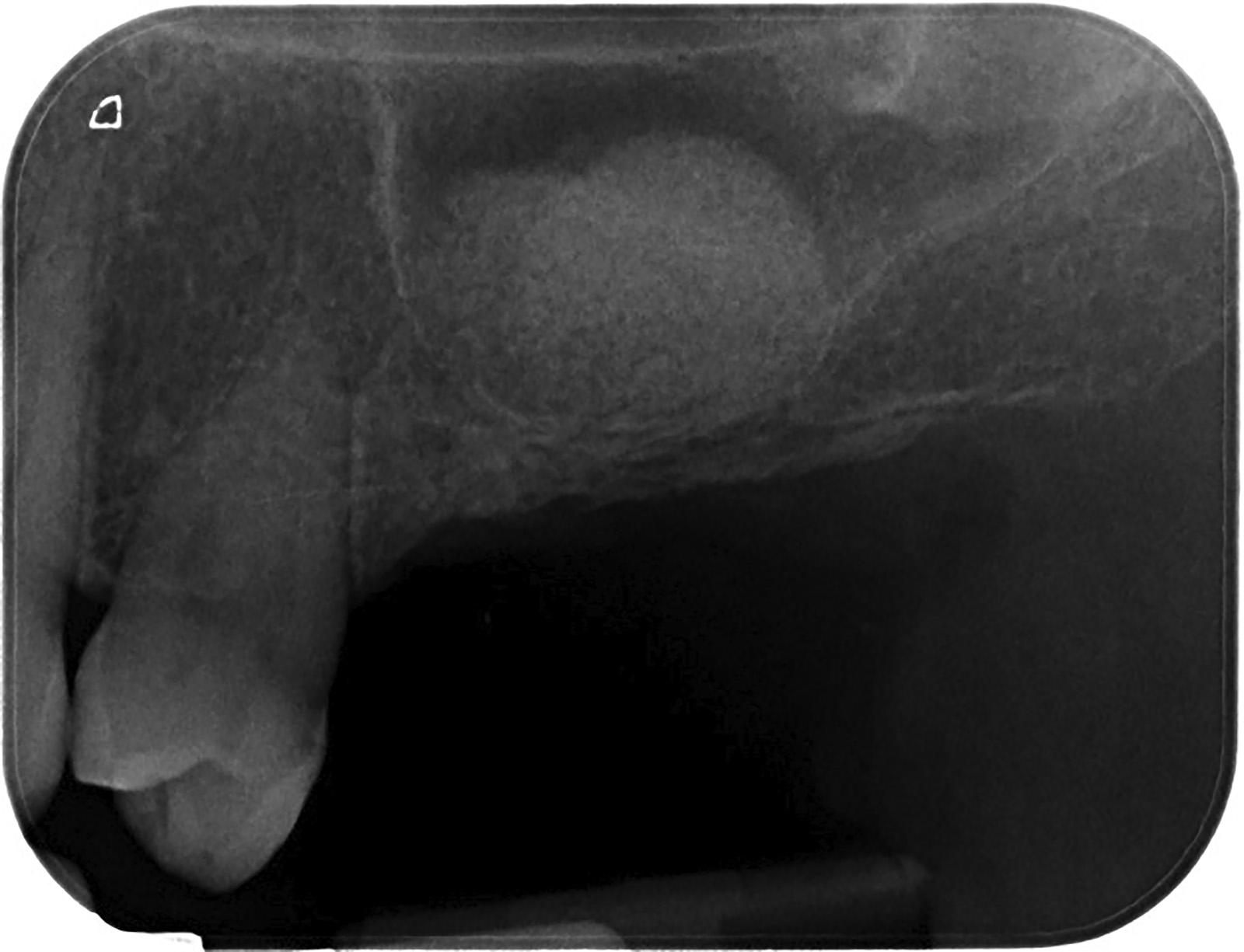
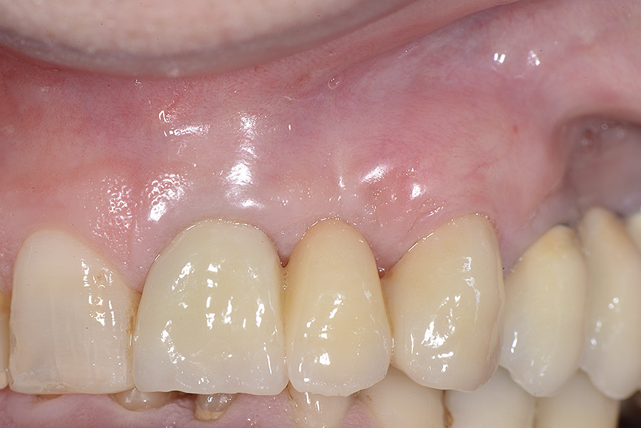
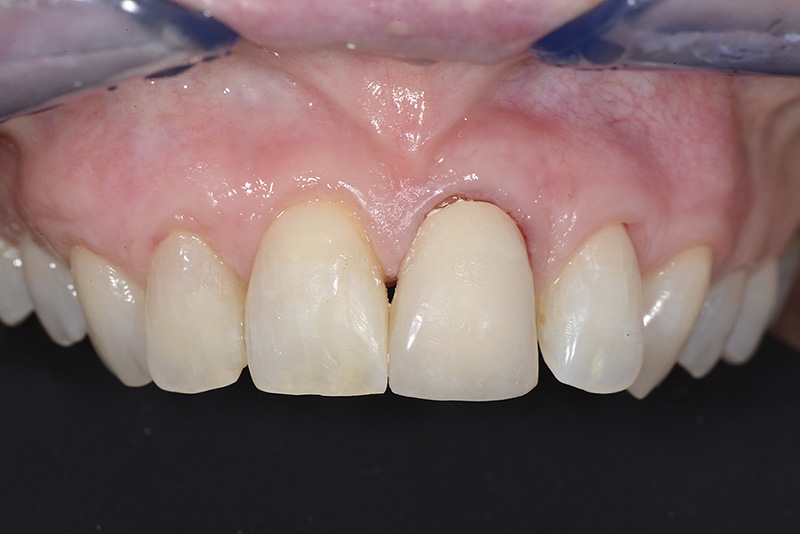
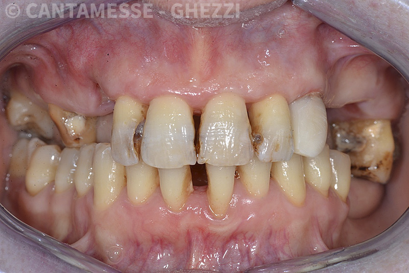
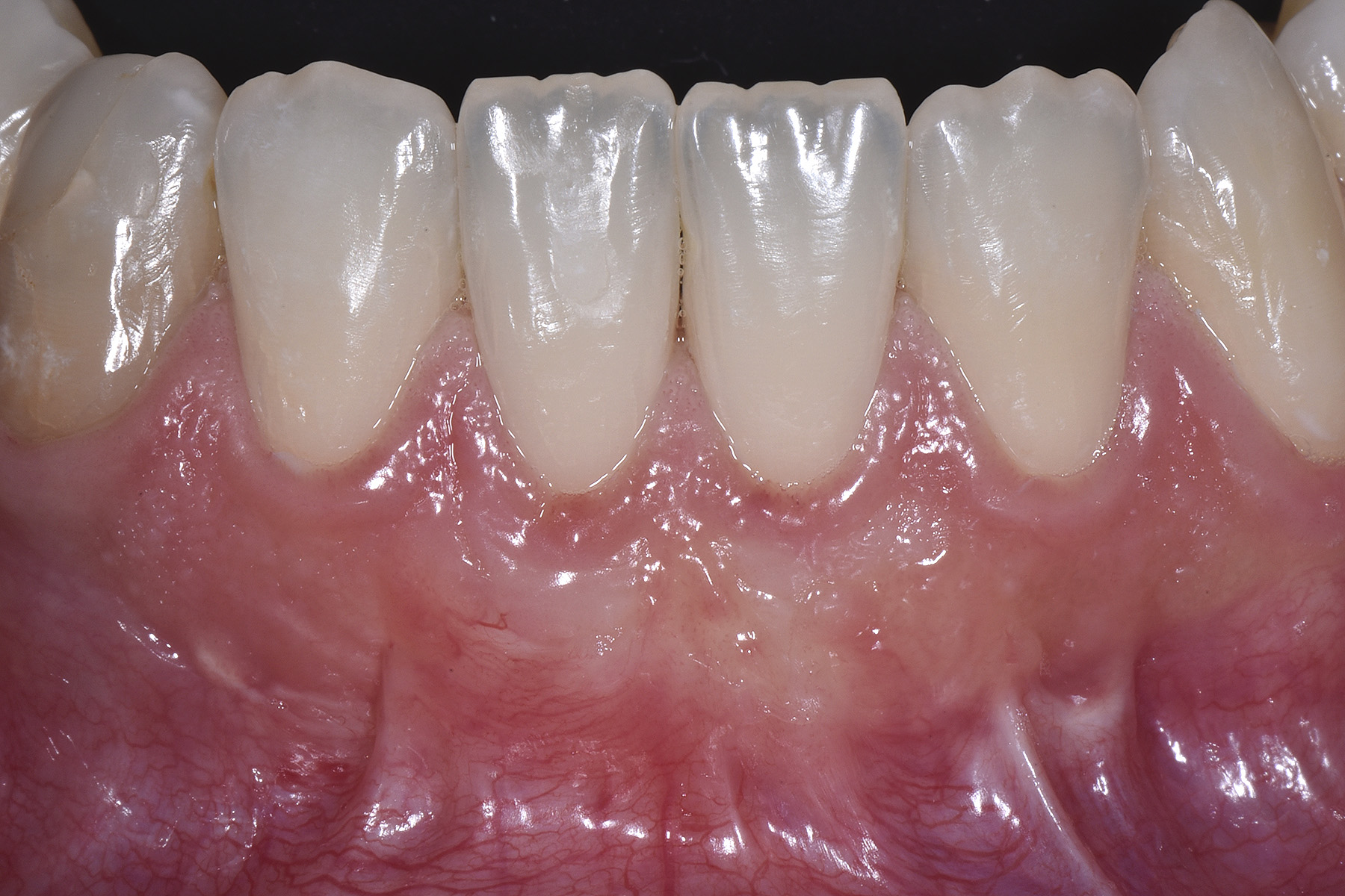
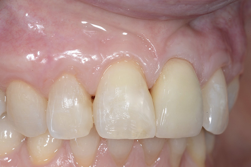
PREMESSA: in seguito all’estrazione dell’incisivo laterale superiore di destra, resasi necessaria per cause batteriche, si decide di affrontare il caso con il posizionamento di un impianto in sostituzione dell’elemento mancante dopo guarigione del sito infetto. Con tecniche rigenerative sia dei tessuti ossei mancanti a causa dell’infezione pregressa, sia dei tessuti gengivali che appaiono inizialmente troppo spostati in alto, si ripristina una corretta morfologia delle parabole (contorni) gengivali e delle papille interdentali (triangoli di gengiva tra due denti vicini).
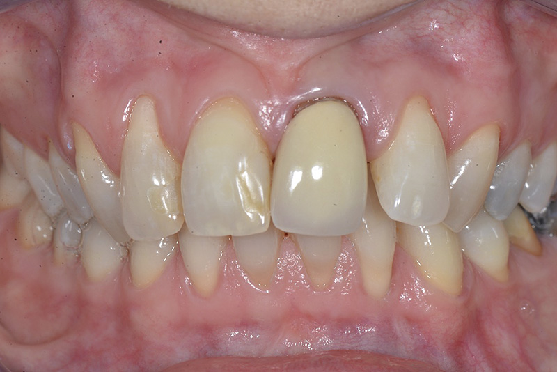
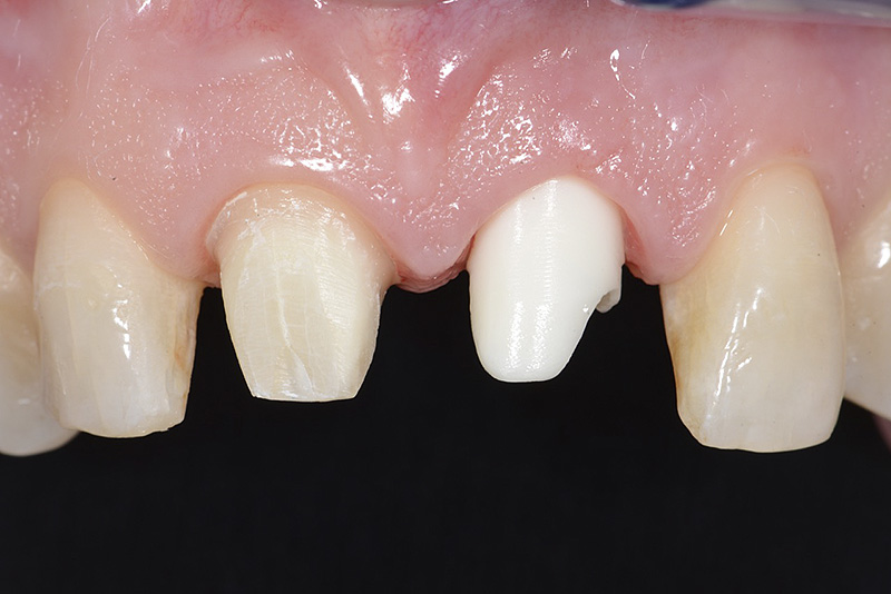
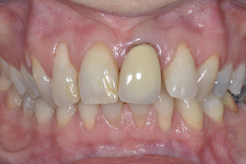
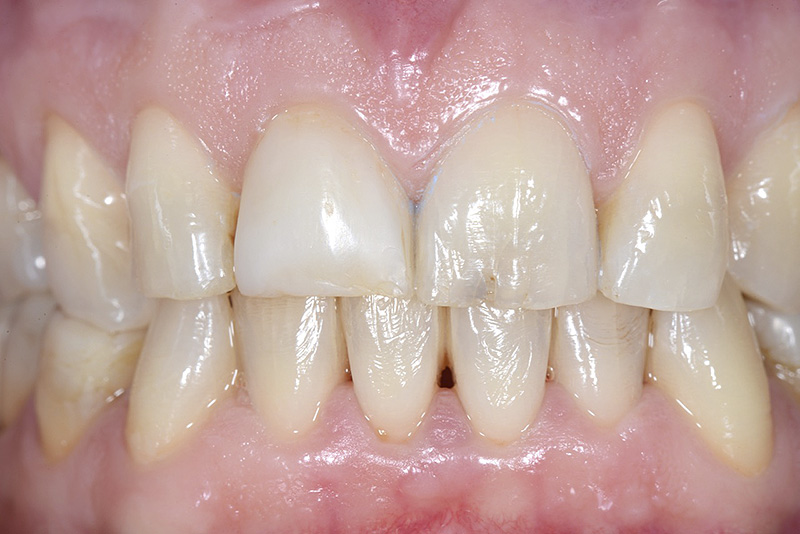
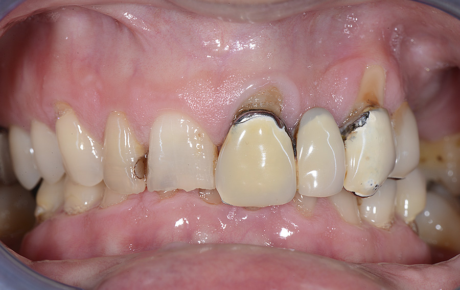
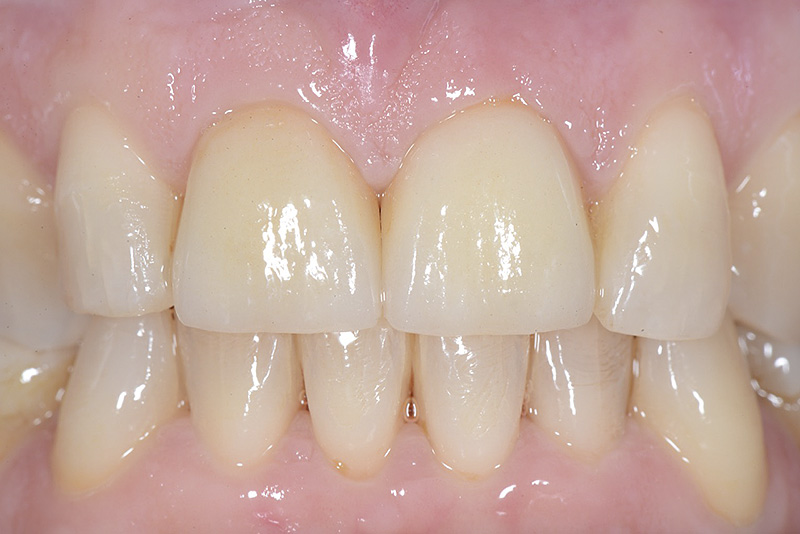
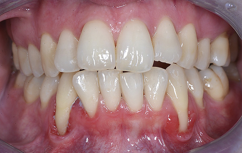
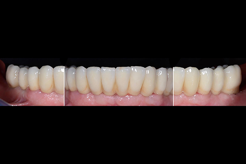
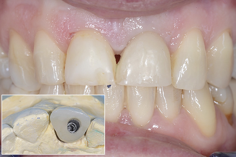
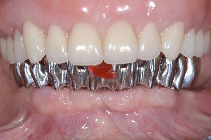
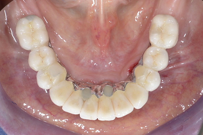
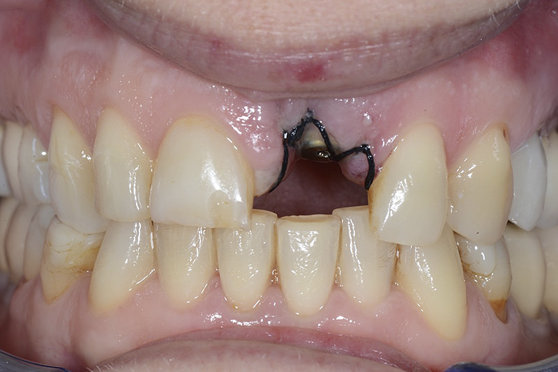
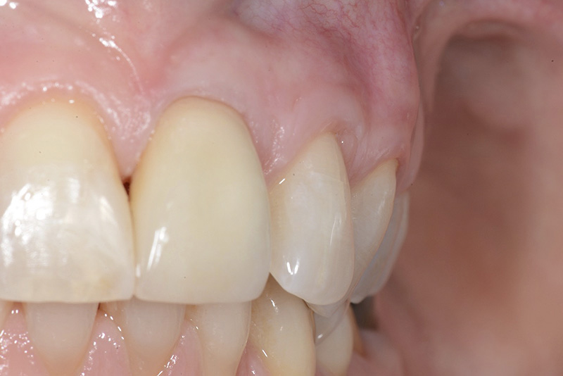
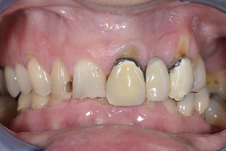
Vengono utilizzati 2 tipi di provvisori: il primo, cementato ai denti vicini, viene utilizzato dal momento dell’estrazione del dente fino ad impianto osteointegrato (circa 6 mesi); il secondo, avvitato direttamente all’impianto, ha una funzione di prova estetica ma soprattutto di guida per la maturazione dei tessuti gengivali peri-implantari portandoli verso la maturazione completa prima di posizionare la corona finale in disilicato di litio.