La tomografia computerizzata Dentale Cone Beam (CBCT) ha rivoluzionato la diagnostica radiologica odontoiatrica e maxillo-facciale rendendo disponibili ricostruzioni 3D delle strutture anatomiche esaminate.
La Cone Beam 3D è una tecnica radiologica di scansione tomografica utilizzata per acquisire dati e immagini di uno specifico volume del massiccio facciale o del cranio. Grazie a specifici e potenti software di elaborazione, questa tecnica offre immagini diagnostiche sui tre piani dello spazio e Volume Rendering (cioè immagini volumetriche), esponendo il paziente a dosi radianti bassissime.
La CBCT rappresenta l’ultima generazione delle macchine per imaging radiologico in campo odontoiatrico e riunisce, oltre ai suoi specifici pregi, quelli di altre metodiche ormai consolidate come l’OPT (ortopantomografia o panoramica) e le radiografie del cranio in latero-laterale e postero-anteriore, a uso cefalometrico-ortodontico.
L’indagine radiologica eseguita mediante acquisizione con apparecchiature CBCT dell’ultima generazione ha raggiunto un grado di accuratezza elevato che permette di integrare l’analisi 3D delle strutture anatomiche con l’esame obiettivo.
Questa moderna integrazione si traduce in un piano di cura più accurato, in un intervento chirurgico più programmato, minimizzando i rischi connessi ad ogni intervento chirurgico.
Si è dimostrata insostituibile nella programmazione d’interventi di avulsione di elementi dentari inclusi sia nell’adulto che in età pediatrica.
L’estrazione chirurgica dei terzi molari inferiori continua infatti ad essere uno degli interventi più frequenti di chirurgia orale e può nascondere insidie importanti dovute al loro rapporto con le strutture circostanti (osso alveolare che circonda l’elemento dentale, legamento parodontale dsulla superficie distale del secondo molare, fascio vascolo-nervoso alveolare inferiore e nervo linguale). Conoscere in sede diagnostica, quindi pre-operatoria, la topografia di queste strutture permette di scegliere tra differenti approcci chirurgici, programmando l’intervento con più sicurezza e meno invasività.

“Lo studio è dotato delle tecnologie più moderne in tema di diagnostica digitale . E’ oggi possibile utilizzare degli strumenti diagnostici tridimensionali, che sfruttano potenti software e moderne tecnologie. Queste consentono di eseguire esami con altissime definizioni ma con dosi radiogene molto basse, decisamente inferiori a quelle delle T.A.C. tradizionali.”

Altrettanto importante risulta nella diagnosi prima e nella terapia poi di lesioni cistiche di diversa natura.
In implantologia, permette di valutare con precisione qualità e quantità di osso disponibile permettendo quindi una precisa progettazione dell’intervento chirurgico.
Inoltre grazie ad un software dedicato, si ha la possibilità di evidenziare le strutture nobili in maniera selettiva (esempio: canale mandibolare,) seguendo l’anatomia reale, e di eseguire una simulazione con la forma reale dell’impianto utilizzato scegliendone forma lunghezza e diametro più adatti.
Questo può aiutare sensibilmente il clinico nella progettazione e nell’illustrazione al paziente della soluzione adottata.
In ortodonzia, consente una migliore programmazione clinica e nei casi di denti ritenuti o sovrannumerari una migliore e più facile localizzazione degli stessi.

In endodonzia consente di superare i limiti della radiologia bidimensionale e ottenere immagini accurate nei tre piani dello spazio, sottoponendo i pazienti ad un’esposizione radiogena notevolmente inferiore rispetto alla dose impartita con una tomografia volumetrica tradizionale. La CBCT trova indicazione nell’approfondimento diagnostico di morfologie complesse: riassorbimenti radicolari, lesioni periapicali, traumi, fratture e in endodonzia chirurgica.
In conclusione, relativamente alle applicazioni in campo odontoiatrico e maxillo-facciale, la tecnica Cone Beam 3D si dimostra superiore alla TC tradizionale per la maggior definizione delle sue immagini, perché permette migliori contrasti tra strutture di diversa densità (gengiva-osso), per la minore esposizione alle dosi radianti, perché l’esame è generalmente più breve, con il paziente in posizione più comoda.
Tutti i dati esposti sono ampiamente disponibili in letteratura medica, discussi ed accettati dagli Autori più autorevoli nel campo specifico.
La “radiografia digitale” è la modalità di acquisizione dall’immagine radiografica che, a differenza della tecnica analogica su pellicola, sfrutta software e hardware in grado di rilevare, elaborare, archiviare immagini e di consentirne la modifica post-acquisizione tramite computer.
L’esposizione ai raggi X è decine di volte inferiore poichè il sensore digitale è in grado di catturare ed elaborare le immagini con un livello di precisione nettamente superiore a quello delle pellicole radiografiche.
Le immagini digitali inoltre non subiscono alterazioni nonostante il trascorrere del tempo, grazie all’ausilio del software è possibile migliorarne e modificarne ogni singolo dettaglio: è possibile, ad esempio, migliorare la leggibilità modificando il contrasto o la luminosità, oppure ingrandire aree specifiche per una più chiara lettura diagnostica.
Con questa tecnologia eseguiamo tutti i tipi di radiografie necessarie nel corso delle cure odontoiatriche:
Questo tipo di esame radiografico è molto frequente nella pratica clinica quotidiana, poiché rappresenta il primo grado di indagine radiografica.
Nel nostro studio utilizziamo un sistema di radiografia digitale ai Fosfori: un apparecchio radiografico specifico (endorale) impressiona un piccolo sensore ai fosfori posizionato nella bocca del paziente in corrispondenza del dente interessato. Un apposito centratore (sterilizzato) aiuta a trattenere in posizione la lastrina (inserita in una speciale protezione igienica monouso) e a posizionare correttamente il tubo del radiografico in modo da mantenere più corretta e parallela possibile la proiezione dei raggi x.
Il paziente chiudendo il morso manterrà il centratore fermo nella posizione stabilita dall’operatore.
I tempi di esposizione sono di 10-20 centesimi di secondo: una dose di radiazioni al paziente inferiore del 70% rispetto alla tecnica con pellicola analogica.
Il film ai fosfori viene quindi letto da uno scanner laser digitale che in pochi secondi acquisisce l’immagine in alta risoluzione e la rende visibile su computer.

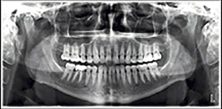
E’ chiamata anche Ortopantomografia o OPT: è un esame a scopo diagnostico delle due arcate dentali complete e del distretto maxillo-facciale. Permette, in un’unica immagine, di avere una visione globale dello stato dei denti, dell’osso mandibolare e mascellare, dei seni mascellari e paranasali, delle articolazioni temporo-mandibolari e dei tessuti gengivali, offrendo all’odontoiatra una visuale completa dell’anatomia del paziente. Questo consente di intervenire con ampio anticipo per affrontare problematiche e risolvere casi che altrimenti rischierebbero di essere trascurati a causa di una diagnosi tardiva.


L’esame si esegue utilizzando un apparecchio radiografico specifico (panoramico o ortopantomografo) che permette di impressionare un sensore digitale (camera CCD) posizionato specularmente alla sorgente che ruota intorno alla testa del paziente.
Il Paziente viene invitato a mordere l’apposito bite (per il corretto allineamento delle arcate) e a posizionare la lingua rilassata e piatta contro il palato alto. Per pochi secondi il paziente non dovrà deglutire e dovrà tenere gli occhi chiusi onde evitare movimenti indesiderati.
Si tratta di una radiografia della testa di profilo che permette una dettagliata visione delle strutture dentali e delle loro basi scheletriche di sostegno (mascellari) rispetto al contesto generale cranio-facciale, evidenziando perfettamente i profili dei tessuti molli (naso, labbra e mento). Fondamentale a scopo diagnostico in ortodonzia, poiché da questa radiografia l’ortodonzista elabora un Tracciato cefalometrico, ovvero un’analisi dei rapporti di reciprocità e posizione di importanti punti anatomici, cioè una serie di misurazioni fatte a partire da punti cranici.
Grazie a queste misurazioni, l’ortodontista può capire se la posizione reciproca delle ossa mascellari è corretta o meno, per esempio se la mandibola sta “troppo avanti” o “troppo indietro” rispetto al mascellare superiore, e se i denti hanno una posizione corretta rispetto alle ossa. Un esame indispensabile nei casi di malocclusione per la corretta diagnosi e per l’impostazione del piano di trattamento ortodontico.
L’esame si esegue utilizzando un apparecchio radiografico specifico munito di un craniostato che permette di posizionare il cranio del paziente in una precisa posizione al fine di rendere ripetibile l’esame a distanza di tempo per successive comparazioni. L’apparecchio è in grado di ottenere teleradiografie in diverse proiezioni (latero-laterali, antero-posteriori, postero-anteriori) per lo studio ortodontico dei bambini e degli adulti.
Il posizionamento del paziente è garantito da un supporto frontale e da due ogive igienizzate che devono entrare nel meato acustico esterno. Il paziente viene invitato ad assumere una posizione di postura naturale. Mantenendo i denti stretti e le labbra morbide dovrà restare immobile per 8 – 15 secondi.
Lo studio esegue l’esame con la Tecnica Digitale Diretta con Sensore CCD ad Alta Risoluzione che durante l’acquisizione visualizza in tempo reale le immagini a monitor. Le caratteristiche evolute della sorgente dei raggi e la rielaborazione digitale dell’immagine ottenuta mediante computer consentono di ottenere immagini ad elevato valore diagnostico con una dose di radiazioni al paziente inferiore del 50-70% rispetto alla tecnica con pellicola tradizionale.

DR. CANTAMESSE-DR. GHEZZI · VIALE BETELLI, 78/A · 24044 - DALMINE (BG)
Tel: 035 561055 · P.IVA 02862380165
Privacy Policy - Cookie Policy